Dental veneers at Dr. Pranati S. Chokshi Family Dentistry offer a cosmetic solution for achieving a beautiful smile. Veneers are thin shells that cover the front surface of your teeth, effectively concealing imperfections such as dark stains, small chips, cracks, peg-shaped teeth, and other minor issues.
Veneers are an ideal treatment for patients with misshapen teeth or severe intrinsic stains that cannot be addressed with bleaching. They provide a quick and effective way to improve the appearance of your teeth, enhancing your smile and boosting your confidence.
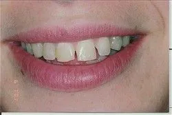
Book OnlineBefore and After Veneers:
Types of Veneers
Dr. Chokshi offers several types of veneers to suit your specific needs:
- Composite Veneers: These veneers are made from a tooth-colored resin material and can be applied directly to your teeth in a single visit.
- Porcelain Veneers: Known for their durability and natural appearance, porcelain veneers are custom-made in a dental laboratory and require two appointments.
- Zirconia Veneers: These veneers are incredibly strong and ideal for patients who require extra durability.
The Veneer Process
The process of getting veneers can often be completed without the need for anesthesia. Depending on your specific case, veneers can sometimes be applied in a single visit to our Winter Garden dental office. In other cases, minimal preparation is needed, and the veneers are then sent to our dental laboratory, making it a two-appointment procedure.
- Preparation: Preparation typically involves reshaping the surface of your teeth to allow for the thickness of the veneers.
- Impressions: If your veneers are being custom-made in a dental laboratory (as with porcelain or zirconia veneers), Dr. Chokshi will take impressions of your teeth. This process usually takes a couple of weeks. In the meantime, you may receive temporary veneers to protect your teeth.
- Application of Veneers: For same-day composite veneers, Dr. Chokshi will apply and shape the composite resin directly onto your teeth. For porcelain or zirconia veneers, a second appointment is scheduled once your custom veneers are ready. During this visit, Dr. Chokshi will check the fit and color of the veneers, make any necessary adjustments, and then bond them to your teeth using a special adhesive.
Veneer Care
Caring for your veneers is simple and involves the same routine as caring for your natural teeth:
- Brush twice a day.
- Floss at least once a day.
- Attend your dental hygiene appointments as recommended by Dr. Chokshi.
Additionally, to protect your new veneers from nighttime grinding and clenching, Dr. Chokshi may recommend wearing an occlusal guard.
With proper care and maintenance, you can enjoy a confident, radiant smile with veneers for many years to come.

